
Dolnośląskie Centrum Ortodontyczno - Implantologiczne OrtoDent
Lokalizacja
Ladowanie mapy...
al. Generała Józefa Hallera 98, 53-203 Wrocław, Polska
O firmie
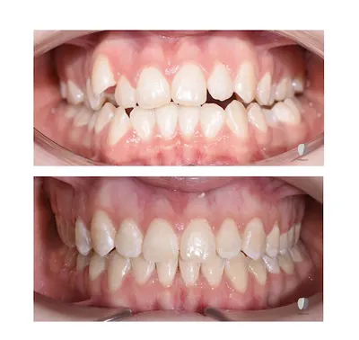
Dolnośląskie Centrum Ortodontyczno-Implantologiczne OrtoDent mieści się przy al. Generała Józefa Hallera 98 we Wrocławiu. Specjalizuje się w usługach ortodontycznych, implantologicznych i stomatologicznych, oferując kompleksowe leczenie dla pacjentów w każdym wieku. Klinika cieszy się dobrą opinią na Google, z oceną 4.4/5 na podstawie 476 recenzji, co świadczy o solidnym poziomie usług w lokalnym środowisku. Pacjenci chwalą przede wszystkim profesjonalizm lekarzy, takich jak dr Rafał Sztaba, dr Magdalena Moździerz, dr Karol Borkowski, dr Magdalena Głowała czy dr Wiktor Szymak. Podkreślają dokładne wyjaśnianie planów leczenia, empatię i brak stresu podczas wizyt, nawet w skomplikowanych przypadkach, jak usuwanie ósemek czy korekta wad zgryzu. Obsługa recepcji wyróżnia się uprzejmością, pomocą w dopasowaniu terminów – także dla pacjentów spoza Wrocławia – oraz uśmiechem, co łagodzi obawy przed stomatologiem. Klinika dba o komfort: poczekalnia z kawą i kącikiem dla dzieci, czystość, a w łazienkach dostępne szczoteczki i pasta. Choć zdarzają się krytyczne głosy dotyczące pojedynczych niedociągnięć, jak opóźnienia w odpowiedziach czy problemy z retainrami, większość opinii wskazuje na zadowolenie z efektów leczenia i atmosfery. To miejsce warte rozważenia dla mieszkańców Dolnego Śląska szukających rzetelnej opieki dentystycznej. (198 słów)
Co mowia klienci
“Dolnośląskie Centrum Ortodontyczne OrtoDent we Wrocławiu zbiera głównie pozytywne opinie za profesjonalizm lekarzy i przemiłą obsługę recepcji. Pacjenci chwalą empatię, dokładne plany leczenia oraz bezbolesne zabiegi stomatologiczne i ortodontyczne. Pojawiają się jednak skargi na błędy w leczeniu ortodontycznym, niedopatrzenia diagnostyczne i słabą obsługę reklamacji.”
Mocne strony
- Przemiła i pomocna obsługa recepcji
- Doświadczeni i empatyczni lekarze (m.in. dr Moździerz, dr Głowała, dr Szymak)
- Dokładne wyjaśnienia planów leczenia
- Profesjonalne i bezbolesne zabiegi
- Miła atmosfera z udogodnieniami (kawa, wygodne poczekalnia)
Do poprawy
- Problemy z retainrami i wyrównaniem zębów
- Słaba obsługa reklamacji i brak odpowiedzialności
- Niedopatrzenia diagnostyczne i niekompletne konsultacje
Idealne dla
Dla pacjentów szukających profesjonalnego leczenia ortodontycznego i stomatologicznego w przyjaznej atmosferze.
Kategorie
Podobne firmy w okolicy

Orto Face - Ortodonta Wrocław
M-dent Magdalena Nadolna-Karpińska

mf.dent STOMATOLOGIA - ortodoncja, Invisalign, protetyka, endodoncja, stomatologia

Prime Dental

Centrum Ortodontyczne OrthoLine Patrycja Downarowicz

Ortodonta OrthoTeam Stomatologia Warmuz - Implanty zębowe
Inne firmy w okolicy

Aktywa Sp. z o.o.

VESTA Zarządzanie Nieruchomościami

Fizjohome | Fizjoterapia i Rehabilitacja Wrocław
ALL-MED

ibezstresu fizjoterapia dietetyka Wrocław
Centrum Tenisowe Redeco
Carrefour
Kakadu Zoo
Pralnia EBS
Szkoła Muzyczna "Arka"

Spa Kota i Psa - Groomer Wrocław

SOLARIUM No1
Tutti Santi

„Pan Tapicer ”- tapicerowanie i naprawa mebli- Wrocław
Kancelaria Doradztwa Podatkowego Verum Mariusz Raszczyk i Wspólnicy Spółka komandytowa
Delektro - Pogotowie Elektryczne Wrocław 24h – Elektryk i Awarie

Kancelaria Podatkowa Alina i Michał Łopuszniak
Kancelaria Doradztwa Podatkowego Andrzej Łopuszniak
Jeden Pies Szkolenia Psów

Ubezpieczenia Wrocław Szymon Wanat